What is menstrual gingivitis. Washing the mouth with a mouth-wash helps to cure inflammation of the gums.

Gingivitis Causes Complications Prevention Treatment Maxi Potion
Also to overcome this situation and to maintain healthy dental health women must maintain optimum routine oral care.

How to treat menstrual gingivitis. If you have a mild form of gingivitis you can treat the condition at home by brushing your teeth twice a day for at least 2 minutes at a time. Ovulation OV pre-menstruation PM and menstruation M. Strain the liquid and use as a rinse twice a day.
Occasionally some women experience menstruation gingivitis. Your dentist may also recommend buying a prescription toothpaste for sensitive gums. Also Read - 5 diet changes to control weight gain from PCOS.
Those who fail to uphold a good oral hygiene can easily fall prey to such oral glitches because the microorganisms which are already present in the oral cavity tends to multiply and results in gingivitis gum disease. Gingivitis is usually treated by professional teeth cleaning and removing the underlying cause. Anti-bacterial mouth-wash contains chlorhexidine which relieves tooth bacteria and cavities.
Add up to three drops of tea tree oil to a cup of warm water. Salt is a natural disinfectant that encourages your body to. The cure starts within you.
Below mentioned strategies will lend a helping hand in condensing the problem. Menstruation gingivitis usually occurs a day or two before the start of the period and clears up shortly after the period has. This dental problem occurs owing to hormonal instabilities during the course of menstruation or even before the onset of your periods.
Menstruation gingivitis is a common oral problem that. How to Treat a. Cover and wait a few minutes before swishing as a mouthwash to fight the bacteria to treat gingivitis.
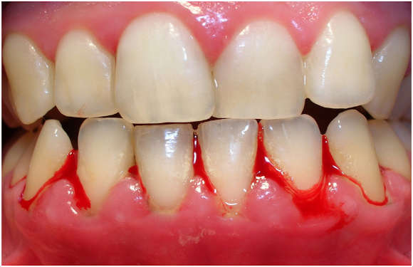
Gingivitis is a common but mild form of gum disease the first sign of which is often bleeding gumsLeft untreated it can progress to a more serious condition called periodontitis this may result in loss of teeth and the bone supporting them. To use a tea tree oil mouthwash. How to treat menstrual gingivitis.
Let steep for 15 minutes. You should also floss regularly at least once a day and rinse with mouthwash to remove food particles. Saltwater treatment for gingivitis A 2016 study stated that utilizing a saltwater wash can be useful in mending gums inflamed by gingivitis.
The monthly menstrual cycle. But you still need to visit your dentist to remove plaque and tartar from above and below the gumline and treat the underlying cause. So you have to visit your dentist for diagnosis and treatment.
As gingival tissues have a host of estrogenic receptors its the response to the changes caused by hormones is rapid. Plaque Index PI Gingival Index GI Papillary Bleeding Index PBI probing depth PD subgingival temperature ST recording gingival crevicular fluid GCF collection and estimation and microbiological examination using the benzoyl-DL-arginine. Add two tablespoons of geranium leaf to a cup of boiling water.
Brushing teeth regularly twice a day is the best way to uphold healthy tooth health. If you have red or swollen gums that bleed easily with brushing this may indicate that you have gingivitis. All the examinations were performed at three points during the menstrual cycle.
Home Remedies include salt-water rinse and brushing regularly with a. Swish the solution in your. Tea tree oil mouthwash is promising for the treatment of gingivitis.
Control plaque and its related bacteria and you control gingivitis. Use a mouth-wash. Menstruation gingivitis typically occurs right before a womans period and clears up once her period has started.
Yes home remedies can clear the signs and symptoms of gingivitis. Women with this condition may experience bleeding gums bright red and swollen gums and sores on the inside of the cheek. Doing this will help in treating gum irritation as anti-bacterial mouthwashes encompass the ingredient chlorhexidine which plays a major role in killing oral bacterias and unwanted cavities.

How To Treat Gingivitis Naturally Here Are 8 Effective Home Remedies For Swollen Gums

The Top Causes Of Gingivitis Dental Health Natural Cures Health

What Is Gingivitis By Rushi Akhade Issuu

10 Expert Tips For How To Treat Bleeding Gums Bleeding Gum Gum Treatment Gum Inflammation

Periodontal Disease Orsatti Dental In San Antonio Gum Treatment Gingivitis Remedies Gingivitis

15 Home Remedies For Gingivitis Or Periodontitis Periodontitis Remedies Gum Care

Inflamed Gums Heal Inflamed Gums Inflamed Gums How To Get Rid Of Inflamed Gums Treatment Inflamed Gu Gum Treatment Gum Disease Remedies Swollen Gums Remedy

Home Remedies For Gum Disease Guminfectionremedies Gum Disease Treatment Gum Disease Remedies Gum Disease

The Nature Of Gingivitis And How To Prevent It Dentist Olds Alberta General Family Dentistry
0 comments:
Post a Comment